Cuando hablamos de restauraciones dentales, las coronas dentales son uno de los tratamientos más utilizados para devolver funcionalidad, estética y salud a una pieza dental dañada. En RAGA Manresa, Clínica Dental en Manresa, queremos que tomes decisiones informadas sobre tu salud bucodental. Por eso, en este artículo te explicamos qué son las coronas dentales, para qué sirven y cuáles son los diferentes tipos disponibles en nuestra clínica.
¿Qué es una corona dental?
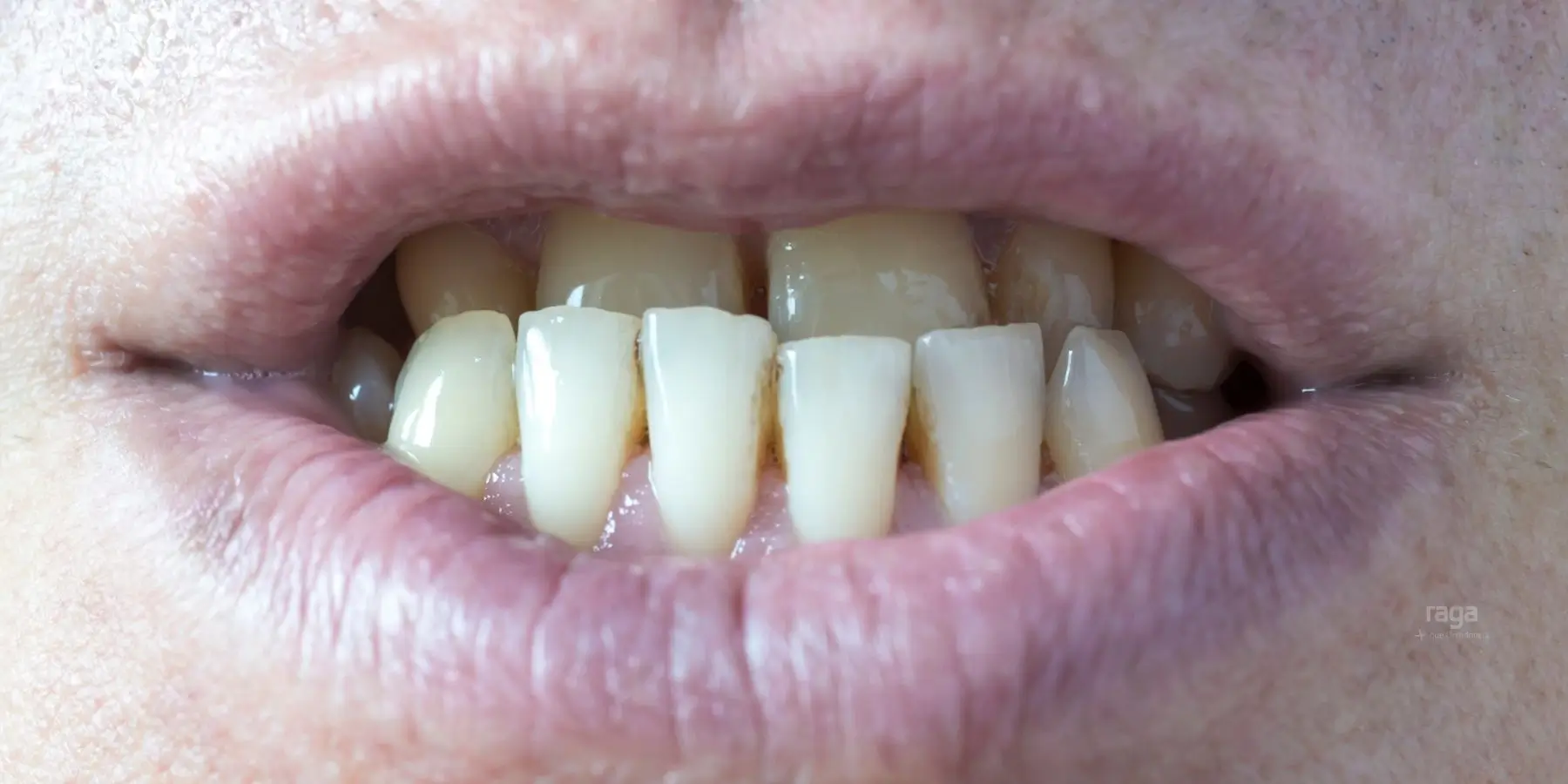
Una corona dental es una funda o «capucha» que se coloca sobre un diente natural dañado o debilitado para cubrirlo por completo. Su objetivo es restaurar la forma, tamaño, resistencia y apariencia del diente original. Las coronas también pueden colocarse sobre implantes dentales para reemplazar dientes perdidos.
En RAGA Manresa, trabajamos con materiales de alta calidad y tecnología de vanguardia para asegurar que cada corona se adapte perfectamente a tu sonrisa, tanto en funcionalidad como en estética.
¿Cuándo se necesita una corona dental?
Las coronas dentales son recomendadas en diferentes situaciones:
Dientes fracturados o debilitados.
Dientes con caries extensas que no pueden restaurarse con empastes.
Después de una endodoncia (tratamiento de conducto).
Para mejorar la estética dental.
Para cubrir implantes dentales.
Para sostener un puente dental.
Si te encuentras en alguna de estas situaciones, es posible que una corona dental sea la mejor solución. En nuestra clínica dental en Manresa, realizamos una evaluación personalizada para recomendarte la mejor opción según tu caso.
Tipos de coronas dentales
Existen diferentes tipos de coronas dentales, y la elección del material adecuado dependerá de factores como la ubicación del diente, la estética deseada, la durabilidad y el presupuesto. A continuación, te presentamos los principales tipos de coronas dentales disponibles en RAGA Manresa:
1. Coronas de porcelana o cerámica
Las coronas de porcelana son altamente estéticas, ya que imitan el color, la forma y el brillo de los dientes naturales. Son ideales para los dientes frontales por su excelente resultado visual.
Ventajas:
Excelente estética.
Material biocompatible.
No provocan reacciones alérgicas.
No tienen metal, lo que evita líneas oscuras en las encías.
Desventajas:
Menos resistentes que otros tipos, especialmente para dientes posteriores con mucha carga masticatoria.
¿Cuándo se recomienda?
En dientes frontales o zonas visibles.
Para pacientes con alergias a metales.
2. Coronas de zirconio
El zirconio es un material de última generación que combina resistencia y estética. Las coronas de zirconio son más resistentes que las de porcelana, pero también tienen una apariencia muy natural.
Ventajas:
Alta resistencia.
Gran estética.
Biocompatible y sin metal.
Apto para pacientes con bruxismo (rechinar de dientes).
Desventajas:
Costo más elevado.
Técnica de fabricación más compleja.
¿Cuándo se recomienda?
En cualquier zona de la boca.
Para pacientes que buscan durabilidad y estética.
3. Coronas metal-porcelana
Estas coronas tienen una base metálica recubierta por una capa de porcelana. Fueron durante años las más utilizadas por su equilibrio entre resistencia y estética.
Ventajas:
Buena durabilidad.
Más económicas que las de zirconio.
Estética aceptable, aunque menor que las de cerámica pura.
Desventajas:
El metal puede generar una línea oscura en la encía con el tiempo.
Riesgo de reacciones alérgicas en algunos pacientes.
Menos estéticas que las coronas sin metal.
¿Cuándo se recomienda?
En molares o dientes posteriores donde la estética no es la prioridad.
En casos con limitaciones presupuestarias.
¿Cuál es la mejor corona dental?
No existe una única «mejor» corona dental para todos los pacientes. La elección del tipo de corona dependerá de varios factores:
Ubicación del diente.
Necesidades estéticas.
Presupuesto disponible.
Hábitos como el bruxismo.
Condiciones médicas o alérgicas.
En RAGA Manresa, Clínica Dental en Manresa, evaluamos de forma personalizada tu caso y te asesoramos para elegir la corona que mejor se adapte a tus necesidades. Nuestro objetivo es garantizarte un tratamiento duradero, funcional y estéticamente impecable.
Proceso de colocación de una corona dental en RAGA Manresa
Primera consulta y diagnóstico. Se realiza una evaluación clínica y radiográfica.
Preparación del diente. Se reduce el tamaño del diente para que la corona se ajuste perfectamente.
Toma de impresiones. Utilizamos escáneres digitales de alta precisión.
Colocación de corona provisional.
Fabricación de la corona definitiva. Puede tardar unos días, dependiendo del tipo de material.
Colocación final. Se cementa la corona definitiva y se ajusta la mordida.
Todo el proceso se realiza con anestesia local, es indoloro y se lleva a cabo en un ambiente cómodo y profesional.
Clínica Dental RAGA especialistas en coronas dentales en Manresa
Si estás pensando en colocarte una corona dental o quieres saber cuál es la mejor opción para ti, contacta con nosotros y te ayudaremos encantados. En RAGA Manresa, tu sonrisa es nuestra prioridad.

